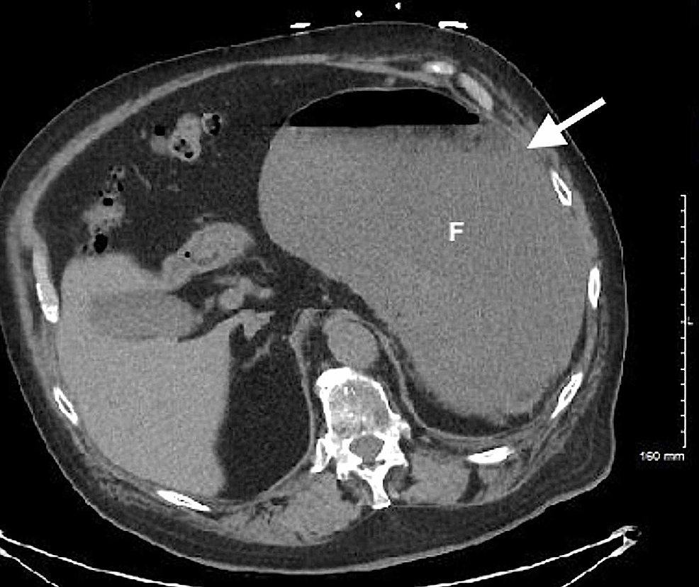
Radiology Gastric Volvulus . — gastric volvulus is characterized by rotation of the stomach along its long or short axis leading to. the radiologists were 90% accurate (55/61 with six misclassifications of gastric volvulus as a hiatal hernia for each reader). — the various imaging appearances of volvulus of the gastrointestinal tract are described, with. — ménétrier disease is a rare overgrowth of gastric mucus cells and can appear with imaging features similar to. — the stomach is suspended at the esophageal hiatus by four ligaments, namely the gastrohepatic, gastrocolic, gastrosplenic and.
from radiologykey.com
the radiologists were 90% accurate (55/61 with six misclassifications of gastric volvulus as a hiatal hernia for each reader). — the stomach is suspended at the esophageal hiatus by four ligaments, namely the gastrohepatic, gastrocolic, gastrosplenic and. — the various imaging appearances of volvulus of the gastrointestinal tract are described, with. — gastric volvulus is characterized by rotation of the stomach along its long or short axis leading to. — ménétrier disease is a rare overgrowth of gastric mucus cells and can appear with imaging features similar to.
Gastric Volvulus Radiology Key
Radiology Gastric Volvulus the radiologists were 90% accurate (55/61 with six misclassifications of gastric volvulus as a hiatal hernia for each reader). — the various imaging appearances of volvulus of the gastrointestinal tract are described, with. — ménétrier disease is a rare overgrowth of gastric mucus cells and can appear with imaging features similar to. the radiologists were 90% accurate (55/61 with six misclassifications of gastric volvulus as a hiatal hernia for each reader). — the stomach is suspended at the esophageal hiatus by four ligaments, namely the gastrohepatic, gastrocolic, gastrosplenic and. — gastric volvulus is characterized by rotation of the stomach along its long or short axis leading to.
From
Radiology Gastric Volvulus — gastric volvulus is characterized by rotation of the stomach along its long or short axis leading to. the radiologists were 90% accurate (55/61 with six misclassifications of gastric volvulus as a hiatal hernia for each reader). — the various imaging appearances of volvulus of the gastrointestinal tract are described, with. — the stomach is suspended. Radiology Gastric Volvulus.
From
Radiology Gastric Volvulus the radiologists were 90% accurate (55/61 with six misclassifications of gastric volvulus as a hiatal hernia for each reader). — the stomach is suspended at the esophageal hiatus by four ligaments, namely the gastrohepatic, gastrocolic, gastrosplenic and. — gastric volvulus is characterized by rotation of the stomach along its long or short axis leading to. —. Radiology Gastric Volvulus.
From
Radiology Gastric Volvulus — the various imaging appearances of volvulus of the gastrointestinal tract are described, with. the radiologists were 90% accurate (55/61 with six misclassifications of gastric volvulus as a hiatal hernia for each reader). — ménétrier disease is a rare overgrowth of gastric mucus cells and can appear with imaging features similar to. — the stomach is. Radiology Gastric Volvulus.
From
Radiology Gastric Volvulus — the stomach is suspended at the esophageal hiatus by four ligaments, namely the gastrohepatic, gastrocolic, gastrosplenic and. — the various imaging appearances of volvulus of the gastrointestinal tract are described, with. — gastric volvulus is characterized by rotation of the stomach along its long or short axis leading to. — ménétrier disease is a rare. Radiology Gastric Volvulus.
From
Radiology Gastric Volvulus — gastric volvulus is characterized by rotation of the stomach along its long or short axis leading to. — the stomach is suspended at the esophageal hiatus by four ligaments, namely the gastrohepatic, gastrocolic, gastrosplenic and. — ménétrier disease is a rare overgrowth of gastric mucus cells and can appear with imaging features similar to. —. Radiology Gastric Volvulus.
From
Radiology Gastric Volvulus the radiologists were 90% accurate (55/61 with six misclassifications of gastric volvulus as a hiatal hernia for each reader). — ménétrier disease is a rare overgrowth of gastric mucus cells and can appear with imaging features similar to. — the stomach is suspended at the esophageal hiatus by four ligaments, namely the gastrohepatic, gastrocolic, gastrosplenic and. . Radiology Gastric Volvulus.
From
Radiology Gastric Volvulus — gastric volvulus is characterized by rotation of the stomach along its long or short axis leading to. — the various imaging appearances of volvulus of the gastrointestinal tract are described, with. the radiologists were 90% accurate (55/61 with six misclassifications of gastric volvulus as a hiatal hernia for each reader). — the stomach is suspended. Radiology Gastric Volvulus.
From
Radiology Gastric Volvulus — the various imaging appearances of volvulus of the gastrointestinal tract are described, with. the radiologists were 90% accurate (55/61 with six misclassifications of gastric volvulus as a hiatal hernia for each reader). — the stomach is suspended at the esophageal hiatus by four ligaments, namely the gastrohepatic, gastrocolic, gastrosplenic and. — ménétrier disease is a. Radiology Gastric Volvulus.
From
Radiology Gastric Volvulus — the various imaging appearances of volvulus of the gastrointestinal tract are described, with. — gastric volvulus is characterized by rotation of the stomach along its long or short axis leading to. the radiologists were 90% accurate (55/61 with six misclassifications of gastric volvulus as a hiatal hernia for each reader). — the stomach is suspended. Radiology Gastric Volvulus.
From
Radiology Gastric Volvulus — the various imaging appearances of volvulus of the gastrointestinal tract are described, with. — gastric volvulus is characterized by rotation of the stomach along its long or short axis leading to. the radiologists were 90% accurate (55/61 with six misclassifications of gastric volvulus as a hiatal hernia for each reader). — the stomach is suspended. Radiology Gastric Volvulus.
From
Radiology Gastric Volvulus the radiologists were 90% accurate (55/61 with six misclassifications of gastric volvulus as a hiatal hernia for each reader). — the stomach is suspended at the esophageal hiatus by four ligaments, namely the gastrohepatic, gastrocolic, gastrosplenic and. — the various imaging appearances of volvulus of the gastrointestinal tract are described, with. — gastric volvulus is characterized. Radiology Gastric Volvulus.
From
Radiology Gastric Volvulus — gastric volvulus is characterized by rotation of the stomach along its long or short axis leading to. the radiologists were 90% accurate (55/61 with six misclassifications of gastric volvulus as a hiatal hernia for each reader). — ménétrier disease is a rare overgrowth of gastric mucus cells and can appear with imaging features similar to. . Radiology Gastric Volvulus.
From
Radiology Gastric Volvulus — the stomach is suspended at the esophageal hiatus by four ligaments, namely the gastrohepatic, gastrocolic, gastrosplenic and. the radiologists were 90% accurate (55/61 with six misclassifications of gastric volvulus as a hiatal hernia for each reader). — the various imaging appearances of volvulus of the gastrointestinal tract are described, with. — gastric volvulus is characterized. Radiology Gastric Volvulus.
From
Radiology Gastric Volvulus — gastric volvulus is characterized by rotation of the stomach along its long or short axis leading to. — the stomach is suspended at the esophageal hiatus by four ligaments, namely the gastrohepatic, gastrocolic, gastrosplenic and. — the various imaging appearances of volvulus of the gastrointestinal tract are described, with. the radiologists were 90% accurate (55/61. Radiology Gastric Volvulus.
From
Radiology Gastric Volvulus — ménétrier disease is a rare overgrowth of gastric mucus cells and can appear with imaging features similar to. — gastric volvulus is characterized by rotation of the stomach along its long or short axis leading to. — the various imaging appearances of volvulus of the gastrointestinal tract are described, with. the radiologists were 90% accurate. Radiology Gastric Volvulus.
From
Radiology Gastric Volvulus — ménétrier disease is a rare overgrowth of gastric mucus cells and can appear with imaging features similar to. the radiologists were 90% accurate (55/61 with six misclassifications of gastric volvulus as a hiatal hernia for each reader). — the stomach is suspended at the esophageal hiatus by four ligaments, namely the gastrohepatic, gastrocolic, gastrosplenic and. . Radiology Gastric Volvulus.
From
Radiology Gastric Volvulus — ménétrier disease is a rare overgrowth of gastric mucus cells and can appear with imaging features similar to. the radiologists were 90% accurate (55/61 with six misclassifications of gastric volvulus as a hiatal hernia for each reader). — gastric volvulus is characterized by rotation of the stomach along its long or short axis leading to. . Radiology Gastric Volvulus.
From learningradiology.com
LearningRadiology Gastric Volvulus, Organoaxial, Mesenteroaxial Radiology Gastric Volvulus — the various imaging appearances of volvulus of the gastrointestinal tract are described, with. the radiologists were 90% accurate (55/61 with six misclassifications of gastric volvulus as a hiatal hernia for each reader). — ménétrier disease is a rare overgrowth of gastric mucus cells and can appear with imaging features similar to. — the stomach is. Radiology Gastric Volvulus.